Feed
Library
Learning
Discuss
Leaderboard
Journal
Sign in
Login
Sign up
Sign in
Feed
Library
Learning
Discuss
Leaderboard
Journal
Sheeza Basharat
almost 3 years ago
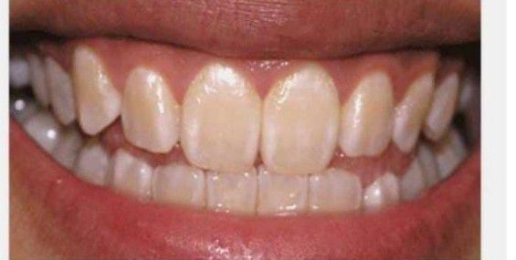
Class of Flourisis
Can you classify the picture according to Dean's Flourisis index?
Dentistry
Dental
Flourisis
0
0
0
Other comments
Sign in
to post comments. You don't have an account?
Sign up now!
Related posts
Space maintainer
Mandibular Tori
Amalgam vs composite filling
Patch testing for dental materials.
Complications of xerostomia
Vertucci Classification
Periapical Pathologies
Pulpotomy
Dental Mock-up
Dental Bridges
Recent MCQs
Show more MCQs
Recent flashcard sets
Show more flashcards
Feed
Learn
Add
Search
Discuss