MEDizzy
MEDizzy
Iqra
Iqraalmost 3 years ago
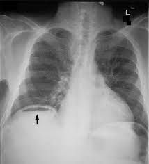
Treatment of pneumoperitoneum

Treatment of pneumoperitoneum

Management of pneumoperitoneum depends on the underlying etiology and the patient's condition. Treatment can include supportive observation, antibiotics, or emergent surgery with repair of luminal defect.

0
Other commentsSign in to post comments. You don't have an account? Sign up now!

Recent MCQs















Show more MCQs

Recent flashcard sets















Show more flashcards