
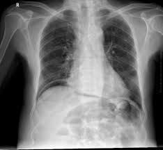
Pneumoperitoneum common signs and symptoms are abdominal pain, vomiting, abdominal distension, constipation, fever, diarrhea, tachycardia (pulse >110/min), hypotension (systolic blood pressure <100 mmHg), urine output (<30 mL/hour), and tachypnea (respiratory rate >20/min) 7