MEDizzy
MEDizzy
Hunain
Hunainalmost 3 years ago
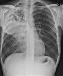
Lung abscess

Lung abscess

A lung abscess is a pus-filled cavity in your lung surrounded by inflamed tissue. It usually results from breathing bacteria that normally live in your mouth or throat into the lungs, leading to an infection.

0
Other commentsSign in to post comments. You don't have an account? Sign up now!

Recent MCQs















Show more MCQs

Recent flashcard sets















Show more flashcards