Feed
Library
Learning
Discuss
Leaderboard
Journal
Sign in
Login
Sign up
Sign in
Feed
Library
Learning
Discuss
Leaderboard
Journal
Dr Usman
almost 3 years ago
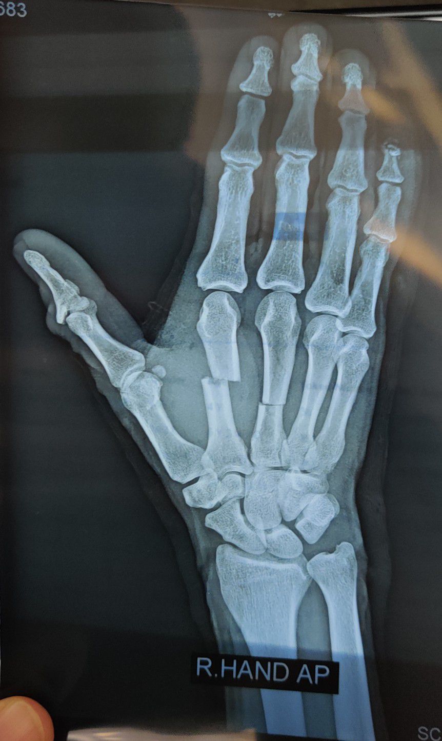
Sharp cut and fracture 2nd & 3rd metacarpal
Fracture
Rta
Metacarpal
0
0
0
Other comments
Sign in
to post comments. You don't have an account?
Sign up now!
Related posts
Determination of origin of fracture in a ceramic restoration
Alveolar Fracture
Impacted tooth and fracture
Hemodynamic stimuli&nonhemodynamic stimuli
Fracture of alveolar process
Fracture of maxillary tuberosity
Naso Orbital Ethmoid fracture
Plating of mandible fracture
Intraoral incision with percutaneous cannula
Surgical Wiring for Mandible Fracture Stabilization
Recent MCQs
Show more MCQs
Recent flashcard sets
Show more flashcards
Feed
Learn
Add
Search
Discuss