
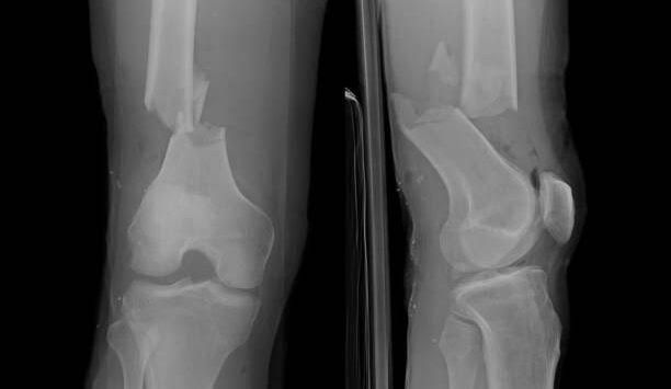
Comminuted fractures are a type of broken bone. The term comminuted fracture refers to a bone that is broken in at least two places. Comminuted fractures are caused by severe traumas like car accidents. You will need surgery to repair your bone, and recovery can take a year or longer.