
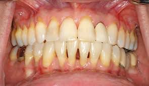
Your gums may recede for a number of reasons. Gum recession causes include: Brushing too hard or too aggressively. Dental plaque or tartar buildup. Periodontal disease. Trauma or injury to your gum tissue. Abnormal tooth positioning (misalignment). Smoking or chewing tobacco use. Lip and tongue piercings.