Feed
Library
Learning
Discuss
Leaderboard
Journal
Sign in
Login
Sign up
Sign in
Feed
Library
Learning
Discuss
Leaderboard
Journal
Ratih
about 7 years ago
....... ?
Medstudent
Pharmacy
Nursing
4
1
0
Top rated comment
Dr. Fatemeh Kourkinejad
about 7 years ago
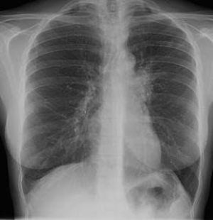
Old TB + right pneumonia ; aortic arch aneurysm
0
Reply
Other comments
Sign in
to post comments. You don't have an account?
Sign up now!
Related posts
πΌπ’ππππππππππ πππ πΓ©ππππππππ
7th European Congress on Infectious Diseases (CPD Accredited)
β
I would like to find answers to some questions?
Phineas Gage: A Case Study in Brain Injury and Personality Change
I have been suffering from Herpes for the past 1 years and 8 months, and ever since then I have been taking series of treatment but there was no improvement until I came across testimonies of Dr. Silver on how he has been curing different people from different diseases all over the world, then I contacted him as well. After our conversation he sent me the medicine which I took according to his instructions. When I was done taking the herbal medicine I went for a medical checkup and to my greatest surprise I was cured from Herpes. My heart is so filled with joy. If you are suffering from Herpes or any other disease you can contact Dr. Silver today on this Email address: drsilverhealingtemple@gmail.com
β
A 70-year-old man presents with difficulty walking, particularly when turning, and a sensation of his feet being "stuck" to the floor. His gait is characterized by hesitation and freezing when initiating steps. Which of the following is most likely to be observed in this patient? A. Spasticity B. Foot drop C.Freezing of gait D. Romberg sign
Best Probiotics For Womens 2025: Are They More Effective?
Effects of sugar on teeth
Recent MCQs
β
β
β
β
β
β
β
β
β
β
Show more MCQs
Recent flashcard sets
β
β
β
β
β
β
β
β
β
β
Show more flashcards
Feed
Learn
Add
Search
Discuss