
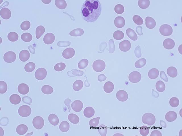
What is sideroblastic anemia (SA)? Sideroblastic anemia (SA) is a rare blood disorder that affects how your body produces red blood cells. If you have sideroblastic anemia, you have anemia from lack of red blood cells and too much iron in your system because your body's not making use of iron in your red blood cells.