MEDizzy
MEDizzy
Dr. Fatemeh Kourkinejad
Dr. Fatemeh Kourkinejadabout 2 years ago
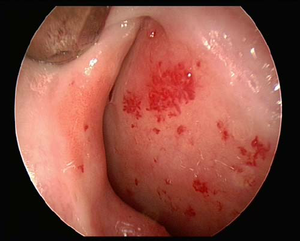
Endoscopic view of the right nasal septum in a 13-year-old.

Endoscopic view of the right nasal septum in a 13-year-old.

Endoscopic view of the right nasal septum in a 13-year-old male HHT patient with a history of recurrent and severe epistaxis. The boy received Nd:YAG laser.

17
Other commentsSign in to post comments. You don't have an account? Sign up now!

Recent MCQs















Show more MCQs

Recent flashcard sets















Show more flashcards