
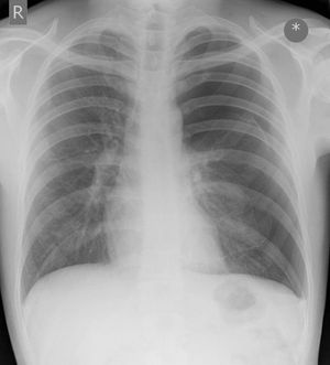
A 25 year old man presents to the emergency department with a two day history of dyspnoea. His pulse is 84/min, respiratory rate is 18/min and oxygen saturations are 97% on room air. The trachea is central on examination. You review his chest x-ray. What is the most likely clinical diagnosis? (please explain the cxr findings behind your choice) A. Left sided pneumothorax (no tension) B. Normal C. Left-sided tension pneumothorax D. Hyperexpansion secondary to severe asthma E. Right middle lobe pneumonia
Left sided pneumo. You can see the heart is shifted to the right. Even though the heart is shifted the pneumo is not hindering cardiac output as evidence by the patients clinical stability. Although vitals are stable treatment should be STAT chest tube placement as a patient like this could take a turn for the worse really quickly.
C Tension pneumothorax Ipsilateral increased intercostal spaces contralateral shift of the mediastinum depression of the hemidiaphragm.
Left sided simple pnuemothorax. CXR: Heart is shifted to right. Left lung parenchyma is collapsed. Clinically, young patient with mostly stable vitals and insidously developing symptoms (as compared to tension pneumothorax which is far more acute)