MEDizzy
MEDizzy
Iqra
Iqraalmost 3 years ago
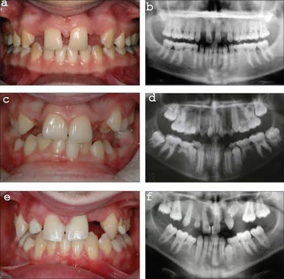
Treatment of hypodontia

Treatment of hypodontia

Hypodontia treatments may include: Braces or other types of orthodontics. Partial dentures. Dental bridges. Dental implants. Children with hypodontia typically wear partial dentures until they’re old enough for other treatments.

0
Other commentsSign in to post comments. You don't have an account? Sign up now!

Recent MCQs















Show more MCQs

Recent flashcard sets















Show more flashcards