
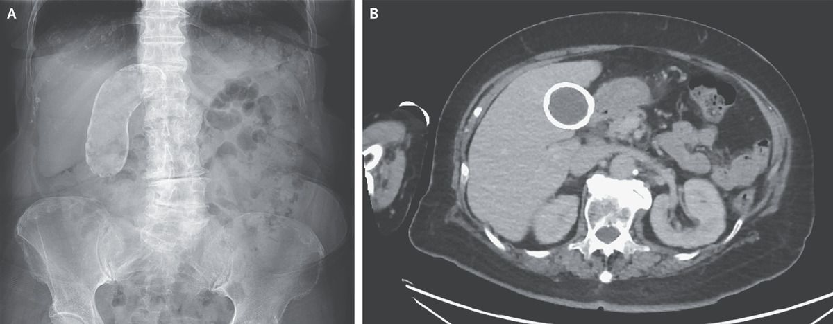
An 83-year-old woman presented to the outpatient clinic with nausea. At the time of presentation, she was receiving antibiotic treatment for cellulitis, and her condition was improving. Her medical history was also notable for an episode of biliary colic when she was 40 years of age. Results of the physical examination, including the abdominal examination, were unremarkable. A plain radiograph of the abdomen showed gallbladder calcification (Panel A), and a computed tomographic scan showed multiple calcified gallstones, as well as rim calcification of the gallbladder (Panel B), a finding consistent with porcelain gallbladder. Porcelain gallbladder refers to the calcification of the gallbladder wall and is associated with chronic gallbladder inflammation. Although porcelain gallbladder is associated with an increased risk of gallbladder carcinoma, the role of prophylactic cholecystectomy in the treatment of asymptomatic patients has not been definitively established. The nausea, which may have been related to the antibiotic treatment, resolved without further intervention. Since this patient did not have ongoing symptoms of gallbladder disease, her condition was managed without surgery. She has attended regular clinic follow-up visits and has not had further episodes of biliary colic or other abdominal symptoms.