Feed
Library
Learning
Discuss
Leaderboard
Journal
Sign in
Login
Sign up
Sign in
Feed
Library
Learning
Discuss
Leaderboard
Journal
Sheeza Basharat
almost 3 years ago
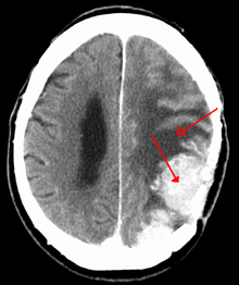
Meningioma- Radiology
This is what a meningioma looks like on a radiograph.
Neurology
Radiology
Meningioma
0
0
0
Other comments
Sign in
to post comments. You don't have an account?
Sign up now!
Related posts
Basic Brainstem Radiology
Spine Radiology I
Spine Radiology II
Dandy Walker Malformation | Diagnosis symptoms and treatment
2-Minute Neuroscience: Brain Aneurysms
Seizures (Epilepsy) Nursing NCLEX: Tonic-Clonic, Generalized, Focal, Symptoms
Stroke: Causes, Risk Factors, Treatment, and Prevention | Mass General Brigham
Neurofibromatosis
Absence seizures
Symptoms of absence seizures
Recent MCQs
Show more MCQs
Recent flashcard sets
Show more flashcards
Feed
Learn
Add
Search
Discuss