MEDizzy
MEDizzy
Shivam Salaria
Shivam Salariaalmost 8 years ago
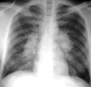
DDx? For this x-ray and most common cause

DDx? For this x-ray and most common cause

20
Top rated comment
about 8 years ago

Bilateral hilar lymphadinopathy

Other commentsSign in to post comments. You don't have an account? Sign up now!
about 8 years ago

Sarcoidosis

about 8 years ago

There is hilar lymphadenopathy

about 8 years ago

Sarcoidosis is the most common cause

about 8 years ago

Sarcoidosis

about 8 years ago

Hilar lymphadenopathy so most probably sarcoidosis

almost 8 years ago

Hilar lymphadenopathy

Recent MCQs















Show more MCQs

Recent flashcard sets















Show more flashcards