
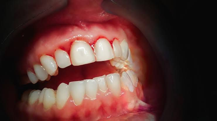
The main cause of bleeding gums is the buildup of plaque at the gum line. This will lead to a condition called gingivitis, or inflamed gums. Plaque that is not removed will harden into tartar. This will lead to increased bleeding and a more advanced form of gum and jaw bone disease known as periodontitis.