Feed
Library
Learning
Discuss
Leaderboard
Journal
Sign in
Login
Sign up
Sign in
Feed
Library
Learning
Discuss
Leaderboard
Journal
anhaarajaz7
about 3 years ago
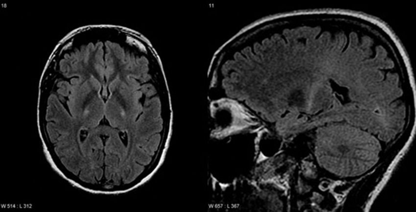
Amyotrophic lateral sclerosis
T2 FLAIR depicting the corticospinal tract degeneration in ALS.
Learning Materials
Mri
Neuro
Als
38
0
1
Other comments
Sign in
to post comments. You don't have an account?
Sign up now!
Related posts
Serotonin Syndrome
Medicines for Weightless II
Calcium Channel Blockers- Mnemonics
Glasgow Coma Scale- An Example
Classification of Periodontal Pocket
Bird Beak Sign
Symptoms of absence seizures
Key Aspects of Cord Prolapse
LipoFit Reviews - Dr Jennifer Ashton's Gelatin Caps for Weight Loss!
MemoMeister Kapseln | Berlin
Recent MCQs
Show more MCQs
Recent flashcard sets
Show more flashcards
Feed
Learn
Add
Search
Discuss