Feed
Library
Learning
Discuss
Leaderboard
Journal
Sign in
Login
Sign up
Sign in
Feed
Library
Learning
Discuss
Leaderboard
Journal
Sheeza Basharat
about 3 years ago
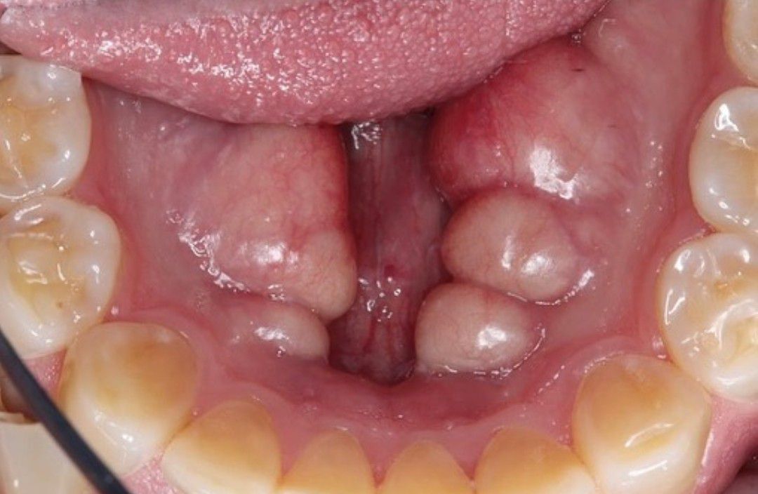
Mandibular Tori -PreOp
Yeah the picture of Mandibular Tori Preoperative.
Surgery
Dentistry
Tori
Preop
0
0
0
Other comments
Sign in
to post comments. You don't have an account?
Sign up now!
Related posts
Surgical process for apicoectomy
Surgical process for apicoectomy
Surgical process for apicoectomy
Condylectomy
Tmj ankylosis grading
Condylectomy
https://www.facebook.com/HumeHealthBodyPodOfficial/
https://www.facebook.com/BiomaProbioticsPage/
Ozalyn
BurnSlim Official | Support Your Weight Management Journey
Recent MCQs
Show more MCQs
Recent flashcard sets
Show more flashcards
Feed
Learn
Add
Search
Discuss