MEDizzy
MEDizzy
Sheeza Basharat
Sheeza Basharatalmost 3 years ago
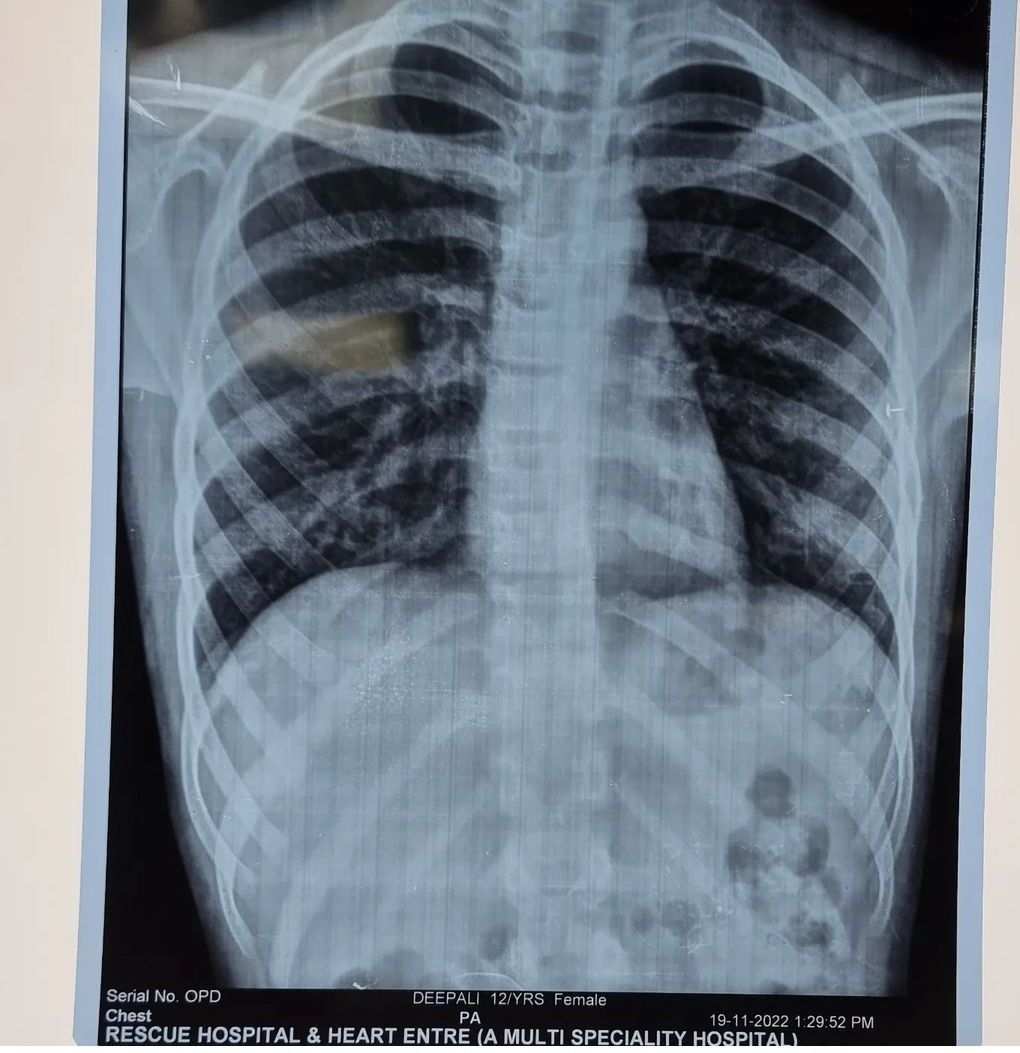
Diagnose it!

Diagnose it!

Diagnose the patient from the given radiograph.

0
Top rated comment
almost 3 years ago

What are the cheif compalints of the patient ?? Left heart border seems to be straighten 1. Juvenile Mitral stenosis 2. Improper flim posture

Other commentsSign in to post comments. You don't have an account? Sign up now!

Recent MCQs















Show more MCQs

Recent flashcard sets















Show more flashcards