
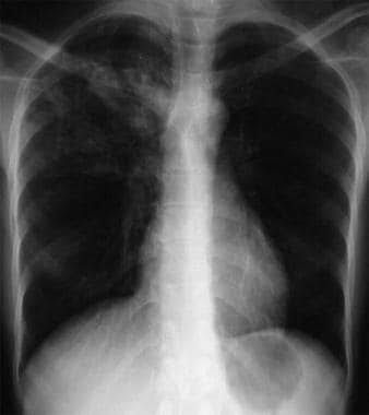
Typical symptoms of TB include: a persistent cough that lasts more than three weeks and usually brings up phlegm, which may be bloody weight loss night sweats high temperature (fever) tiredness and fatigue loss of appetite new swellings that haven't gone away after a few weeks You should see a GP if you have a cough that lasts more than three weeks or if you cough up blood.