
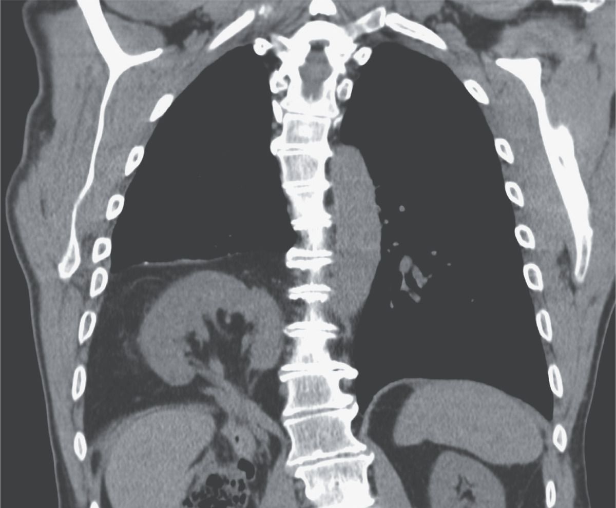
A 77-year-old man presented to the emergency department with nausea, vomiting, and diarrhea. He had no known medical or surgical history and reported no shortness of breath or cough. Physical examination was notable for decreased breath sounds in the lower third of the right side of the chest, and chest radiography revealed an opacity in the right hemithorax. Focused assessment with ultrasonography revealed no evidence of a pleural effusion, but the right kidney could not be identified. A computed tomographic scan of the chest showed a right Bochdalek hernia containing the kidney as well as hepatic flexure of the colon. A Bochdalek hernia results from a congenital posterolateral diaphragmatic defect. It is a common incidental finding, and the hernia is often small and contains only fat. Large Bochdalek hernias containing the kidney, as occurred in this patient, are less common. No specific treatment was initiated for the hernia, and the patient’s gastrointestinal symptoms abated with supportive care.