
Yeah its like obstruction seen in x ray .. thts correct symptoms .. now get to the diagnose 👍
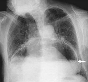
Nope in ascites x ray shows full air in whole abdomen while here it shows there is no air in uper part i mean near to diaphragm
Nope pnuemonia contain air in most of the lobes of any side of lung or both side of lung .. while here its changing postion of diaphragm or esophagus (hint for the ans )