
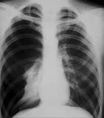
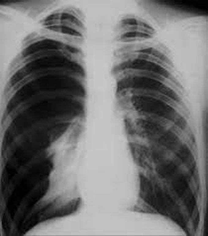
Symptoms The main symptoms of a pneumothorax are sudden chest pain and shortness of breath. Severity of symptoms may depend on how much of the lung is collapsed. When to see a doctor Symptoms of a pneumothorax can be caused by a variety of health problems, and some can be life-threatening, so seek medical attention. If your chest pain is severe or breathing becomes increasingly difficult, get immediate emergency care.