
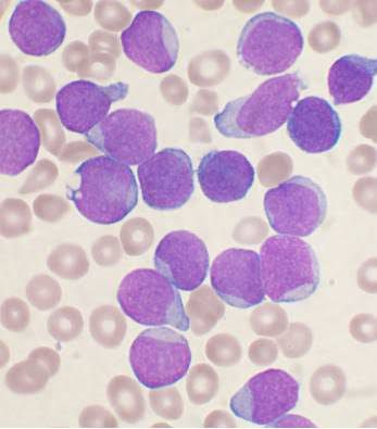
Acute lymphoblastic leukaemia (ALL) is a type of blood cancer. One third of all childhood cancers are leukaemia. Approximately, 3 out of 4 of these are acute lymphoblastic (ALL). ALL can affect children of any age but is more common in children aged 1 to 4 years old. More children than ever are surviving childhood cancer. There are new and better drugs and treatments, and we can now also work to reduce the after-effects of having had cancer in the past. It's devastating to hear that your child has cancer. At times it can feel overwhelming but there are many healthcare professionals and support organisations to help you through this difficult time. Understanding more about the cancer your child has and the treatments that may be used can often help parents to cope. Your child’s specialist will give you more detailed information, and if you have any questions it's important to ask the specialist doctor or nurse who knows your child’s individual situation.