
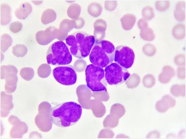
Acute myeloblastic leukaemia (AML) is a type of cancer of the myeloid line of blood cells. The term “acute” describes a rapid progression, and “myeloblastic” denotes the origin from myeloid cells. Myeloid cells are immature cells that normally become mature red blood cells, white blood cells, or platelets