
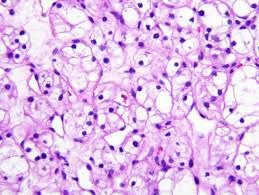
Clear cell renal cell carcinoma, or ccRCC, is a type of kidney cancer. The kidneys are located on either side of the spine towards the lower back. The kidneys work by cleaning out waste products in the blood. Clear cell renal cell carcinoma is also called conventional renal cell carcinoma.