
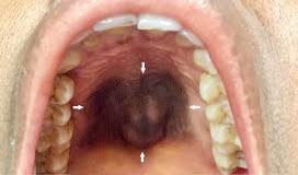
Melanoacanthoma is a rare cutaneous tumor reported more commonly in light skinned persons. The lesions are usually solitary and common sites are the head, neck, trunk, often on the lip or the eyelid. Some have suggested that it could be a localized phenomenon induced by trauma.