
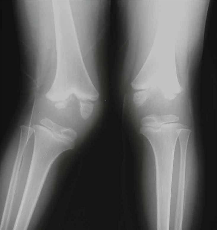
Permanent and irreversible joint damage (also known as hemophilic arthropathy) is the most common complication of hemophilia that leads to disability. It is caused by repeated bleeding into the same joint, and over time results in the destruction of the cartilage and synovium (the lining of the joint).