
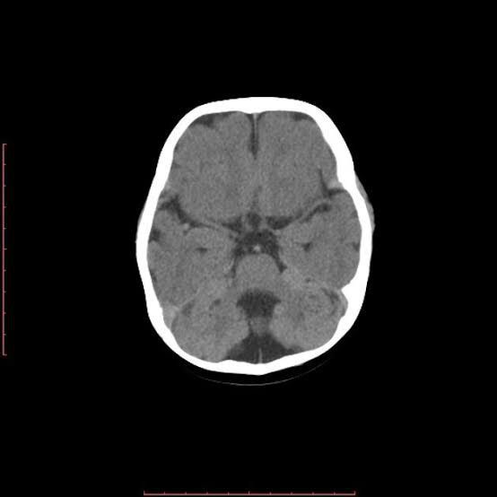
Cerebellar hypoplasia is a neurological condition in which the cerebellum is smaller than usual or not completely developed. Cerebellar hypoplasia is a feature of a number of congenital (present at birth) malformation syndromes, such as Walker-Warburg syndrome (a form of muscular dystrophy.