
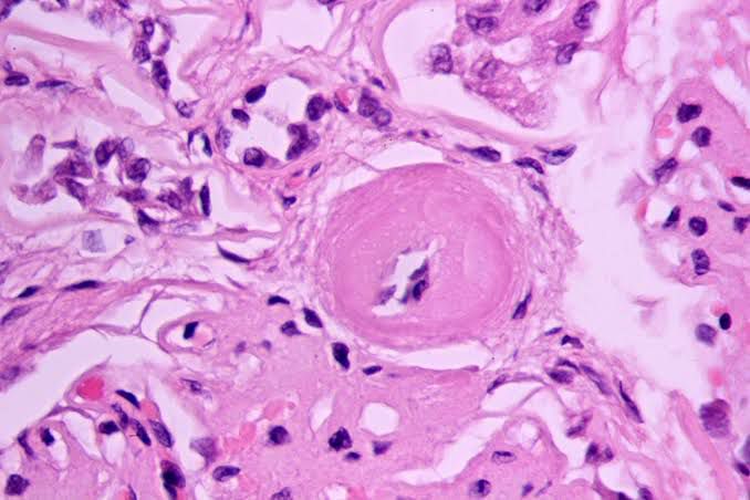
Hyaline arteriolosclerosis is a common vascular lesion characterized by the accumulation of various serum proteins in the subendothelial space often extending into the media. Hyalin has a characteristic morphologic appearance, staining bright magenta with periodic acid-Schiff (PAS) stain and having a glassy texture.