MEDizzy
MEDizzy
Zunaira saleh
Zunaira salehabout 1 year ago
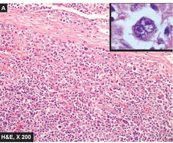
Hodgkin’s disease

Hodgkin’s disease

Nodular sclerosis type. There are bands of collagen forming nodules and characteristic lacunar RS cells.

0
Other commentsSign in to post comments. You don't have an account? Sign up now!

Recent MCQs















Show more MCQs

Recent flashcard sets















Show more flashcards