
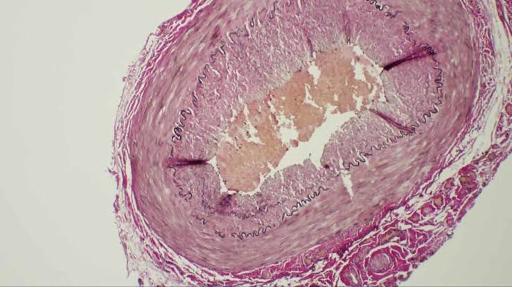
Monckeberg medial calcific sclerosis (MCS) is a ring-like calcification of the vascular media of small to medium sized vessels without associated intimal thickening. Almost exclusively, MCS is the underlying condition in what is referred to as breast arterial calcification (BAC) detected at mammography.