
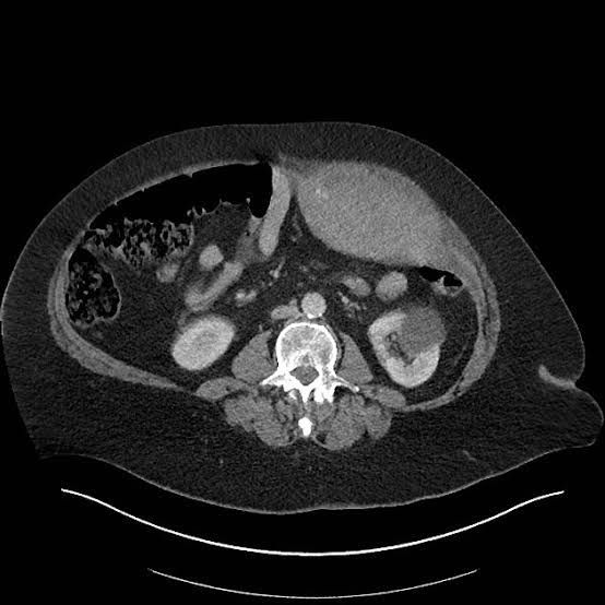
Your rectus sheath is a connective tissue that supports your abdominal muscles. A rectus sheath hematoma can occur when any bleeding from your epigastric arteries spreads into and builds up in your abdomen. Most rectus sheath hematomas clear up on their own and don't require medical treatment