
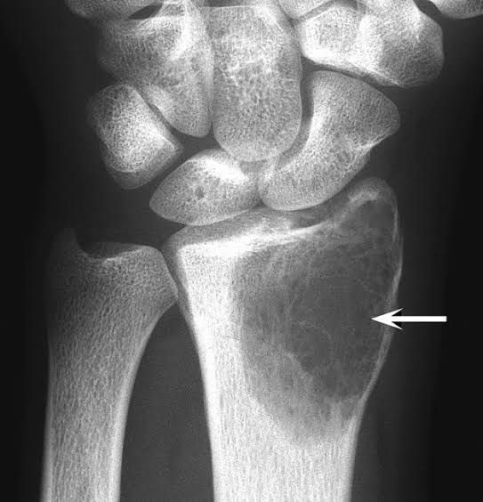
A giant cell tumor is a rare, aggressive non-cancerous tumor. It usually develops near a joint at the end of the bone. Most occur in the long bones of the legs and arms. Giant cell tumors most often occur in young adults when skeletal bone growth is complete. The exact cause of giant cell tumors remains unknown.