MEDizzy
MEDizzy
Hunain
Hunainabout 1 year ago
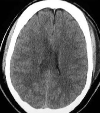
Diffuse axonal injury symptoms

Diffuse axonal injury symptoms

The most common etiology of diffuse axonal injury involves high-speed motor vehicle accidents. The most common mechanism involves an accelerating and decelerating motion that leads to shearing forces to the white matter tracts of the brain.

2
Other commentsSign in to post comments. You don't have an account? Sign up now!

Recent MCQs















Show more MCQs

Recent flashcard sets















Show more flashcards