
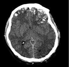
Cerebral contusions are scattered areas of bleeding on the surface of the brain, most commonly along the undersurface and poles of the frontal and temporal lobes. They occur when the brain strikes a ridge on the skull or a fold in the dura mater, the brain’s tough outer covering. These bruises may occur without other types of bleeding or they may occur with acute subdural or epidural hematomas.