
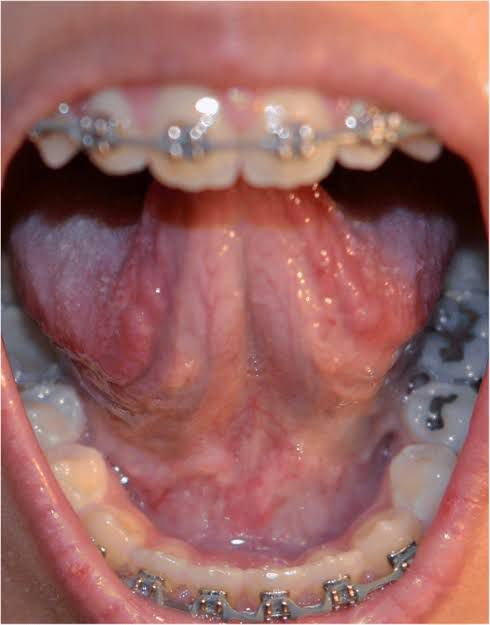
The lingual frenulum is a fold of mucous membrane found underneath the tongue. Most of the time, it extends from the midline of the ventral surface of the tongue to the floor of the mouth but not reaching the tip [1]. It helps the tongue to move and perform its functions in swallowing, feeding, and speech.