MEDizzy
MEDizzy
Zunaira saleh
Zunaira salehabout 1 year ago
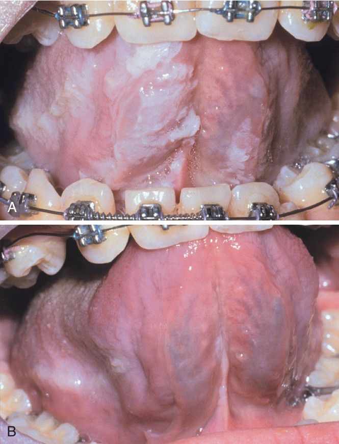
Uremic Stomatitis.

Uremic Stomatitis.

 A, Ragged white plaques affect the ventral tongue and floor of the mouth. B, Same patient after renal dialysis. 

0
Other commentsSign in to post comments. You don't have an account? Sign up now!

Recent MCQs















Show more MCQs

Recent flashcard sets















Show more flashcards