Feed
Library
Learning
Discuss
Leaderboard
Journal
Sign in
Login
Sign up
Sign in
Feed
Library
Learning
Discuss
Leaderboard
Journal
Vijay
about 3 years ago
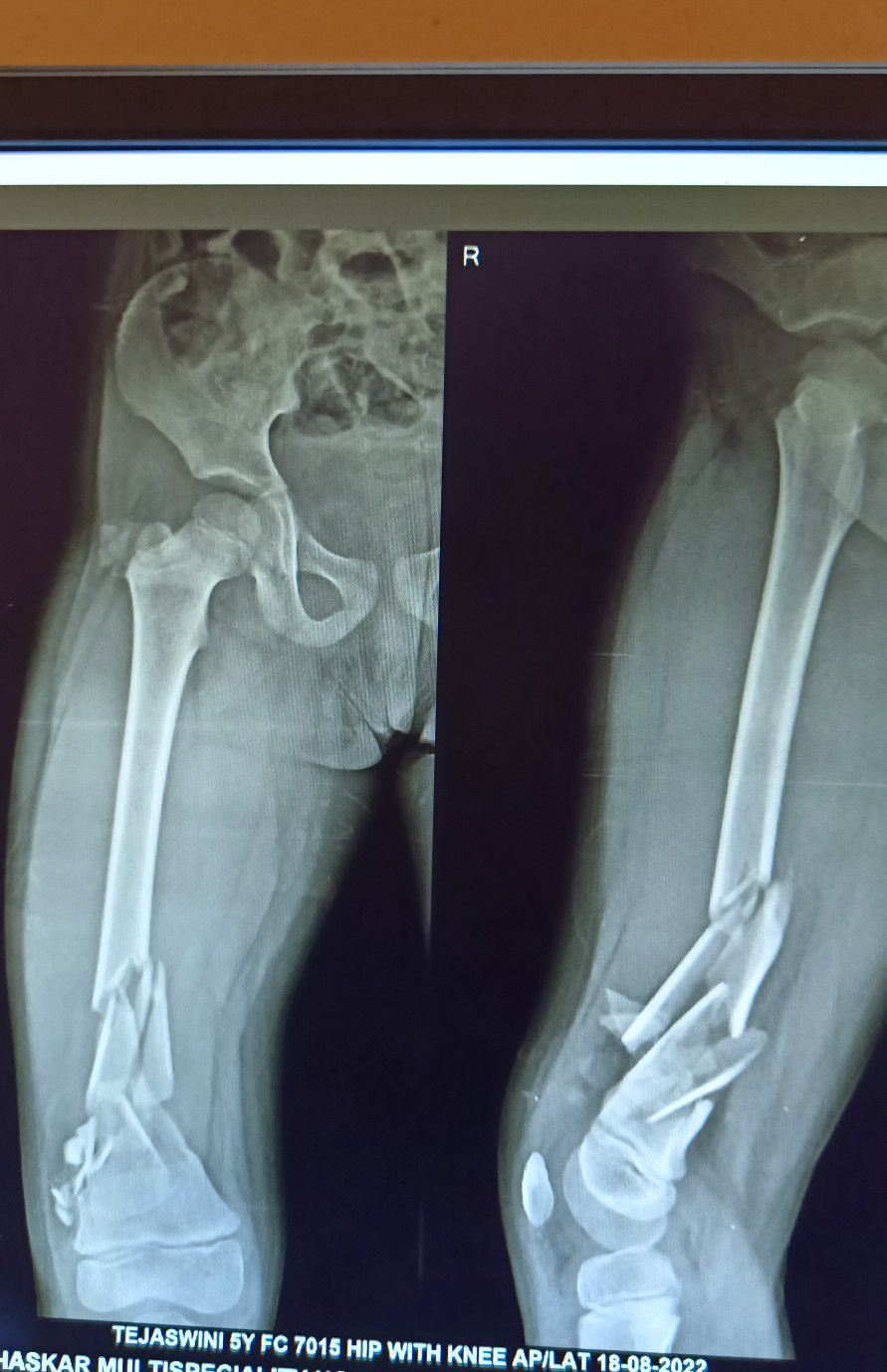
H/o RTA,Plan of Approach!
Orthopaedics
Orthopedicsurgery
Paediatric
98
0
1
Other comments
Sign in
to post comments. You don't have an account?
Sign up now!
Related posts
Treatment of degenerative joint disease
Causes of degenerative joint disease
Degenerative joint disease
Dolor progresivo en el hombro derecho, que empeora por las noches. Rigidez importante que afecta todos los movimientos del hombro, especialmente al intentar rotarlo o levantar el brazo hacia arriba.
What is Rheumatoid Arthritis? | Johns Hopkins Rheumatology
Ankylosing Spondylitis | HLA-B27, Pathophysiology, Signs & Symptoms, Diagnosis, Treatment
What is scoliosis?
Osteosarcoma - Pathology, Symptoms, Diagnosis, Treatment
External nose bones
Recent MCQs
Show more MCQs
Recent flashcard sets
Show more flashcards
Feed
Learn
Add
Search
Discuss