
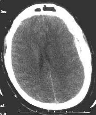
A craniotomy is the main treatment for subdural haematomas that develop soon after a severe head injury (acute subdural haematomas). During the procedure, the surgeon creates a temporary flap in the skull. The haematoma is gently removed using suction and irrigation, where it's washed away with fluid.