
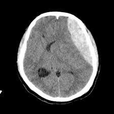
In most cases, your doctor will recommend surgery to remove an epidural hematoma. It usually involves a craniotomy. In this procedure, your surgeon will open up part of your skull so they can remove the hematoma and reduce the pressure on your brain. In other cases, your doctor may recommend aspiration.