
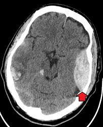
The most important symptoms of an EDH are: Confusion. Dizziness. Drowsiness or altered level of alertness. Enlarged pupil in one eye. Headache (severe) Head injury or trauma followed by loss of consciousness, a period of alertness, then rapid deterioration back to unconsciousness. Nausea or vomiting.