MEDizzy
MEDizzy
Iqra
Iqraabout 3 years ago
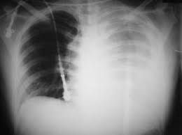
Cause of hemothorax

Cause of hemothorax

The most common cause of hemothorax is chest trauma. Hemothorax can also occur in people who have: A blood clotting defect. Chest (thoracic) or heart surgery.

0
Other commentsSign in to post comments. You don't have an account? Sign up now!

Recent MCQs















Show more MCQs

Recent flashcard sets















Show more flashcards