
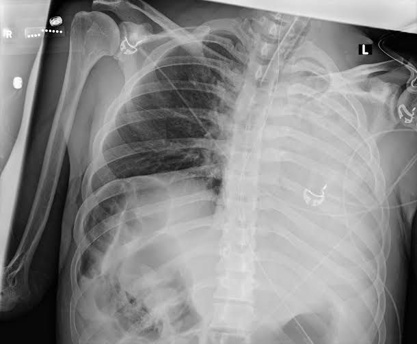
Mayo Clinic does not endorse companies or products. Advertising revenue supports our not-for-profit mission. Advertising & Sponsorship Policy Opportunities Ad Choices More Information Bronchoscopy CT scan Ultrasound Treatment Treatment of atelectasis depends on the cause. Mild atelectasis may go away without treatment. Sometimes, medications are used to loosen and thin mucus. If the condition is due to a blockage, surgery or other treatments may be needed. Chest physiotherapy Techniques that help you breathe deeply after surgery to re-expand collapsed lung tissue are very important. These techniques are best learned before surgery. They include: Performing deep-breathing exercises (incentive spirometry) and using a device to assist with deep coughing may help remove secretions and increase lung volume. Positioning your body so that your head is lower than your chest (postural drainage). This allows mucus to drain better from the bottom of your lungs. Tapping on your chest over the collapsed area to loosen mucus. This technique is called percussion. You can also use mechanical mucus-clearance devices, such as an air-pulse vibrator vest or a hand-held instrument. Surgery Removal of airway obstructions may be done by suctioning mucus or by bronchoscopy. During bronchoscopy, the doctor gently guides a flexible tube down your throat to clear your airways. If a tumor is causing the atelectasis, treatment may involve removal or shrinkage of the tumor with surgery, with or without other cancer therapies (chemotherapy or radiation). Breathing treatments In some cases, a breathing tube may be needed. Continuous positive airway pressure (CPAP) may be helpful in some people who are too weak to cough and have low oxygen levels (hypoxemia) after surgery.