MEDizzy
MEDizzy
Iqra
Iqraover 3 years ago
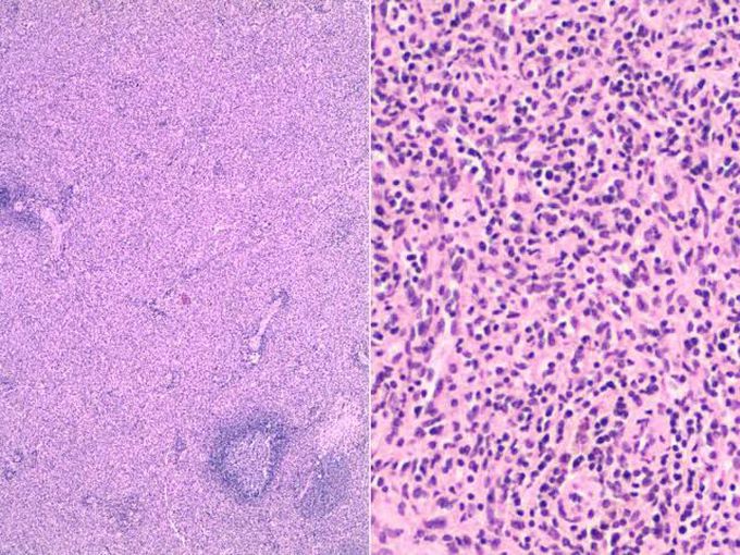
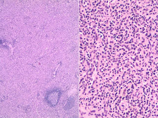
Congestive splenomegaly

Congestive splenomegaly

Splenomegaly is an enlargement of the spleen that often results from blood-borne infections. The red pulp expands as neutrophils accumulate in the spleen and encroaches on the lymphoid follicles.

0
Other commentsSign in to post comments. You don't have an account? Sign up now!

Recent MCQs















Show more MCQs

Recent flashcard sets















Show more flashcards