
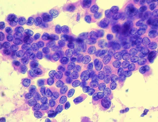
Papillary thyroid carcinoma (PTC) is the most common form of well-differentiated thyroid cancer, and the most common form of thyroid cancer to result from exposure to radiation. Papillary carcinoma appears as an irregular solid or cystic mass or nodule in a normal thyroid parenchyma.