
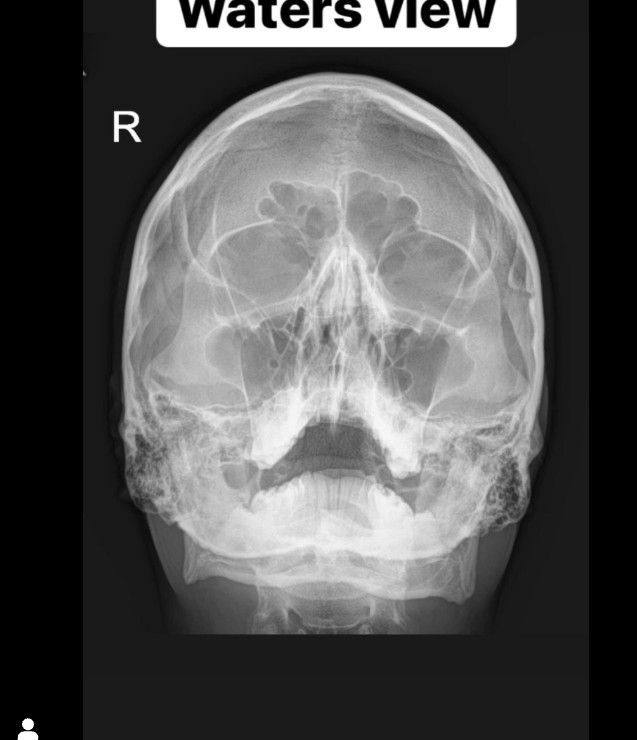
Waters' view is a radiographic view of the skull. It is commonly used to get a better view of the maxillary sinuses. An x-ray beam is angled at 45° to the orbitomeatal line. The rays pass from behind the head and are perpendicular to the radiographic plate.