
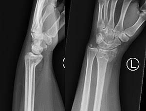
A Smith fracture is a break to the end of the radius. The end part of the bone, which forms part of the wrist joint, is displaced or angled in the direction of the palm of the hand. Often, this injury occurs by a fall to the back of a flexed wrist but can occur in any fall to an outstretched hand.