MEDizzy
MEDizzy
Iqra
Iqraover 3 years ago
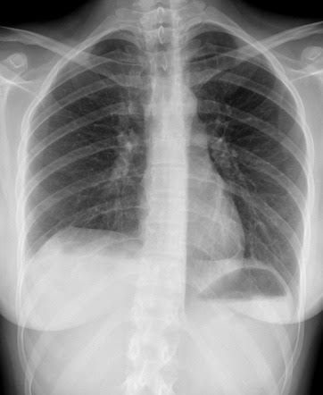
Westermark Sign

Westermark Sign

Westermark sign is a sign of pulmonary embolus seen on chest radiographs. It is one of several described signs of pulmonary embolus on chest radiographs.

0
Other commentsSign in to post comments. You don't have an account? Sign up now!

Recent MCQs















Show more MCQs

Recent flashcard sets















Show more flashcards