
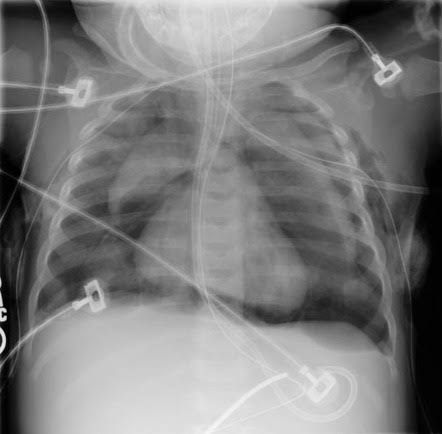
The spinnaker sign (also known as the angel wing sign) is a sign of pneumomediastinum seen on neonatal chest radiographs. It refers to the thymus being outlined by air with each lobe displaced laterally and appearing like spinnaker sails. This is distinct from the sail sign appearance of the normal thymus